Volume 19, Issue 5 (Sep-Oct 2025)                   mljgoums 2025, 19(5): 31-35 | Back to browse issues page


XML Print


Download citation:
BibTeX | RIS | EndNote | Medlars | ProCite | Reference Manager | RefWorks
Send citation to:

Pirdel L, Safajoo M, Maleki M. Effect of interferon- on the expression of regulatory NLRP6 and NLRP12 genes in human Wharton’s jelly mesenchymal stem cells. mljgoums 2025; 19 (5) :31-35
URL: http://mlj.goums.ac.ir/article-1-1705-en.html
1- Department of Medicine, Ardabil Branch, Islamic Azad University, Ardabil, Iran , leilapirdel@yahoo.com
2- Department of Biology, Tabriz Branch, Islamic Azad University, Tabriz, Iran
Full-Text [PDF 592 kb]   (582 Downloads)     |   Abstract (HTML)  (2122 Views)
Full-Text:   (116 Views)
Introduction
Mesenchymal stem cells (MSCs) are widely known as suppressors of immune and inflammatory responses, indicating their potential application in cell-based therapies (1,2). Wharton's jelly MSCs (WJ-MSCs) possess lower immunogenicity owing to both reduced expression of MHC and co-stimulatory molecules [B7-1 (CD80) and B7-2 (CD86)] (3,4). This has led to the development of MSC-based therapy for various inflammatory conditions (5). The MSC-mediated immunomodulation occurs following the interaction of MSC with immune cells and their secretions, such as inflammatory cytokines (6). Interferon-gamma (IFN-γ) plays a crucial role in regulating immune and inflammatory responses in both healthy individuals and those with diseases (7-9). As MSC-mediated suppression of cell proliferation and function has been reported in the presence of IFN-γ, this cytokine is potentially necessary for either initiating or enhancing the immunosuppressive functions of MSCs (10-12).
The innate immune system influences the characteristics of MSCs. Recent evidence indicates that MSC1 promotes a pro-inflammatory phenotype, while MSC2 promotes an anti-inflammatory phenotype (13). Nucleotide-binding oligomerization domain receptors (NOD-like receptors, NLRs), as key mediators of inflammatory responses, can identify pathogen-associated molecular patterns (PAMPs) and damage-associated molecular patterns (DAMPs) (14,15). The inhibitory NLRs, particularly NLRP12 and NLRP6, can negatively regulate the nuclear factor NF-κB pro-inflammatory signaling pathway, thereby attenuating the inflammatory response (16-18). This is attributed to the downregulated expression of IFN-related genes, induction of M2 macrophages-mediated immunosuppressive microenvironment, and promotion of P14ARF-Mdm2-P53-dependent cellular senescence (19-22). Notably, the upregulation of NLRPs plays a role in maintaining HSCs (23). Furthermore, their negative regulatory functions have been reported during bacterial infections, such as those caused by L. monocytogenes and B. abortus, which is mediated through the dysregulation of NF-κB activation and an increase in the production of pro-inflammatory cytokines (24,25). Therefore, it is crucial to focus on regulating innate immune and inflammatory responses.
In this study, we aimed to evaluate the gene expression levels of NLRP6 and NLRP12, which are known as potential negative regulators of inflammatory signaling, in WJ-MSCs treated with IFN-γ to mimic an inflammatory scenario, using real-time quantitative PCR (qPCR). Appropriate modulation of innate immune mechanisms may be permissive for the establishment and maintenance of immunosuppression in the inflammatory milieu.

Methods
Isolation and culture of Wharton’s jelly MSCs
Cells isolated from the umbilical cord in a study that had the approval of the institutional local ethics committee (IR.IAU.TABRIZ.REC.1398.029) were used in this study. This research was conducted at the Islamic Azad University of Ardabil Branch in 2021. After obtaining informed consent, umbilical cords collected from full-term births, either after cesarean section or vaginal delivery, were transferred to the laboratory in normal saline. The cells were then isolated using a conventional tissue culture procedure. Briefly, the cords were cut into 2 cm pieces, soaked in Hanks’ balanced salt solution (HBSS), and the WJ-MSCs were chopped into small pieces after the vessels were removed. Cells were then cultured in low-glucose Dulbecco’s modified Eagle’s medium (DMEM) (Gibco, Germany) supplemented with 20% fetal bovine serum (FBS) (Gibco, Germany), 1% penicillin/streptomycin (Sigma, USA), and 1% amphotericin B (Sigma, USA). They were incubated at 37°C in a 5% CO2 humidified atmosphere, followed by examination of the cell cultures every three days using an inverted microscope to check for contamination. The cultures were then maintained for 10 days in an incubator. Following the identification of the first mesenchymal stem cell, the media was renewed every three days to achieve a confluence of 70-80% (26). Subsequently, the cells were harvested using 0.25% trypsin-ethylenediaminetetraacetic acid (EDTA) (Gibco, UK) and then passaged to new flasks.
Flow cytometry analysis in Wharton's jelly stem cells 
Immunophenotyping of the isolated MSCs was performed by flow cytometry. To accomplish this, cells were dissolved in a staining solution, and a cell suspension with 1-2 × 106 cells/mL was prepared. Antibodies against MSC surface markers CD34, CD44, CD45, CD73, CD90, and CD105 were then added to each tube according to the manufacturer’s protocol, followed by an incubation period. Isotype antibodies were used to rule out the background fluorescence using the same procedure. The cells were finally analyzed using a FACSCalibur flow cytometer (BD Biosciences, USA), and FlowJo software (Version 7.6.1) was used for subsequent analysis.
RNA isolation and cDNA synthesis
Wharton's jelly-derived MSCs (0.5 Î106 cells/mL) were divided into two groups; one group was treated with IFN-γ (20 ng/mL) for 24 hours, and the other remained untreated (27). A short-term exposure to the pro-inflammatory cytokine IFN-γ (As mimicked by 24-hour licensing) enhances the immunomodulatory capacities of cultured human MSCs without the risk of cell apoptosis (28). Subsequently, total RNA was extracted using the one-step RNA reagent (Bio Basic) kit according to the manufacturer's instructions. Treatment with DNase I (Thermo Fisher Scientific, USA) was also performed to remove genomic contamination from the extracted RNA samples. The ratio of absorbance at 260 and 280 nm was used for the purity assessment of RNA samples. RNA quality was also assessed using agarose gel electrophoresis. These RNA samples were reverse-transcribed into cDNA (Complementary DNA) using the PrimeScript RT Reagent Kit (Takara, Japan) according to the manufacturer's protocol. A polymerase chain reaction (PCR) amplification was performed for each target gene in triplicate wells. The reaction mixture, with a total volume of 20 µL, consisted of 12.5 µL of master mix, 1 µL of each forward and reverse primer, 1 µL of cDNA, and 5.5 µL of sterile distilled water. The PCR was conducted under the following conditions: an initial denaturation at 95°C for 10 minutes, followed by 35 cycles consisting of 40 seconds at 95°C, 30 seconds at 60°C, and 30 seconds at 72°C. A final extension was carried out at 72°C for 5 minutes. The same PCR conditions were used for amplification of the NLRP6 and GAPDH genes, except that the annealing temperatures were 63 °C and 59 °C, respectively. A negative control containing no template was also used. The amplification products were analyzed by 1.5% agarose gel electrophoresis and visualized by safe nucleic acid staining reagent.
Real-time quantitative PCR (qPCR)
The mRNA expression levels of target genes in the treated and untreated samples were quantified using quantitative real-time PCR (qRT-PCR) with the SYBR Premix Ex Taq II kit (Takara, Japan), following the manufacturer's instructions. Real-time PCR was performed in a final volume of 20 μL, containing 10 μL of SYBR master mix, 0.5 μL of each forward and reverse primer, and 2 μL of template cDNA. The cycling conditions were 95°C for 10 minutes, followed by 45 cycles of 95°C for 10 seconds, an annealing temperature (Which varies for different genes) for 30 seconds, and 72°C for 20 seconds. The melting temperature cycle was performed from 55°C to 95°C to generate a melt curve chart for confirmation of product specificity. Duplicate reactions were run for each gene in the Rotor-Gene 6000 thermal cycler (Qiagen, Netherlands). The cyclic threshold (CT) values were used to analyze the expression levels via the 2-ΔΔCt method. The expression level of glyceraldehyde-3-phosphate dehydrogenase (GAPDH) transcripts was measured and used for normalizing the gene expressions. The same procedure was also used for a negative template control. The primer sequences used in this study are listed in Table 1.

Table 1. Primer sequences used for RT-PCR and qPCR assays
Statistical analysis
To statistically analyze the data, the GraphPad Prism software (Version 5.04) was used. The results were analyzed using Mann-Whitney tests and presented as mean ± SD. A value of P<0.05 was considered statistically significant.

Results
Morphological and immunophenotypic characteristics of WJ-MSCs
After the WJ-MSCs pieces were plated and cultured for approximately 10 to 14 days, the stromal cells, which exhibited a fibroblast-like appearance, were dissociated around the tissue sections that had been adhered to the culture flask (29). In the following week, these cells multiplied and grew around the adherent tissue pieces after the tissue pieces were removed, as the tissue culture flask was covered. They were examined with an inverted microscope during the culture period. The cells were then divided into several flasks when they reached 80% confluence. The MSCs grown from the primary culture of human umbilical cord blood are demonstrated in Figure 1. Flow cytometric analysis revealed the presence of common MSC markers, such as CD44, CD90, CD105, and CD73, on the isolated cells. In contrast, no expression of the CD34 and CD45 markers was observed in these cells (Figure 2).


Figure 1. Human umbilical cord dissection and isolation of cells; Minced human umbilical cord tissue was then cultured to release mesenchymal stem cells. A: The Morphological characteristics of MSCs isolated from WJ-MSCs. B: Cell buds observed after 10-14 days of primary culture growing around the WJ-MSCs tissue section (40×). C: After the cells were passaged, the adherent cells with fibroblast-like appearance exhibited a high proliferative ability and covered the culture flask (40×)


Figure 2. Immunophenotyping results of WJ-MSCs. The white-filled histogram and grey-filled histogram represent the fluorescence intensity (log) of cells stained with an isotype control and specific antibodies, respectively
Real-time qPCR results
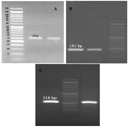
After cDNA synthesis, the cDNA was amplified with specific primers for NLRP12, NLRP6, and GAPDH by RT-PCR. The desired bands were observed in the 250 bp, 181 bp, and 218 bp on gel electrophoresis, respectively (Figure 3). Expression levels of NLRP6 and NLRP12 mRNA transcripts were analyzed using qRT-PCR in untreated WJMSCs (Control) and WJMSCs treated with IFN-γ after 24 hours. Expression levels of the target genes were normalized against those of GAPDH mRNA, a commonly used housekeeping gene, and the normalized values were calculated using the 2-ΔΔCt method. As indicated in Figure 4, while no difference in expression levels of NLRP6 was shown between untreated and IFN-γ-treated cells, the cells treated with IFN-γ cytokine were shown to be highly enriched with NLRP12 mRNA transcripts compared to the untreated control group (P≤ 0.05).


Figure 3. Gel electrophoresis results of the RT-PCR product of the WJ-MSCs A: NLRP12 gene, B: NLRP6 gene, C: GAPDH gene


Figure 4. NLRP12 and NLRP6 gene expression in both untreated and IFN-γ-treated WJ-MSCs. *; P≤ 0.05, ns: not significant

Discussion
The immunosuppressive capacity of MSCs makes them a promising alternative for modulating immune and inflammatory responses (28). Considering the importance of NLRs in the inflammatory response, we were interested in evaluating the expression level of negative regulators of the NF-κB signaling pathway, such as NLRP6 and NLRP12, following the treatment of MSCs with the pro-inflammatory cytokine IFN-γ. Interestingly, IFN-γ pre-licensing enhances immunomodulatory capacities of cultured human MSCs in inflammatory conditions (29). However, the underlying effector mechanisms by which MSCs generate a suitable immune-modulatory microenvironment need to be investigated.
MSCs modulate the host immune responses through various mechanisms (30). Evidence has reported a dose-dependent anti-proliferative effect of MSCs on T lymphocytes in the mixed lymphocyte culture (MLC) response. The NLRs participate in key mechanisms of immune responses, including antigen presentation (NLRC5) and the modulation of inflammation (NLRC3, NLRP6, NLRP12, NLRX1) (22). The NLRP12 can negatively regulate T cell responses and IL-4-associated inflammation in experimental autoimmune encephalomyelitis (EAE) disease (31,32). Moreover, NLRP6 deficiency can increase inflammation and induce tumorigenesis (33).
In this study, the expression levels of NLRP6 and NLRP12 were evaluated in MSCs isolated from the Wharton's jelly of human umbilical cords after treatment with IFN-γ, as they can regulate inflammatory signaling. It was observed that the expression level of NLRP12 in the WJ-MSCs treated with IFN-γ was higher than in the control group, while the treated group exhibited no difference in NLRP6 expression. This may have occurred due to the low dose of INF or an inadequate treatment duration. When considering the dominant role of IFN-g in MSCs licensing, it is necessary to adjust the levels of this cytokine in the setting of an inflammatory response (34,35). Another possibility is that IFN-g by itself, may be incapable of mimicking the in vivo inflammatory condition to induce the NLRP6 gene expression remarkably. Moreover, the NLRP6 expression can be inhibited through miRNA (36). Therefore, the RNA or protein products of other genes may help regulate its expression.
The NLRP12 has a regulatory function in innate immune activation in a type I interferon (IFN-I)-dependent manner, as demonstrated by its overactivation under conditions of low NLRP12 expression (37). Stimulation with IFN-γ and TNF has been shown to regulate PANoptosis, characterized by pyroptosis, apoptosis, and necroptosis, by modulating NLRP12 expression (38). Another study has revealed that INF-g priming and NLRP12/NLRP3-dependent activation of caspase 1 mediate hypersensitivity to secondary bacterial infection during malaria (39). In addition, the NLRP12 suppresses NF-kB and ERK activation associated with the inhibition of inflammatory cytokines and nitric oxide production in tumorigenesis (30,40). Despite the role of NLRP6 deficiency in reducing IFN-γ production and augmenting caspase-1 activation (41), its overexpression may lead to the attenuation of cell proliferation (21). Unchanged NLRP6 expression in treated MScs may serve a protective role in MSC survival; however, its effect on the capability of modulating inflammation needs to be clarified. Notably, their regulatory mechanism and additional functions should be investigated using various experimental settings. The IFN-g mimicking an inflammatory environment may contribute to the enhanced gene expression in treated WJ-MSCs. However, multiple factors can contribute to the attenuation or activation of inflammation. In this regard, the findings of our study showed that the expression of NLRC3 and NLRC5 genes was at high levels in IFN-γ-treated MSCs compared to untreated cells (42).
This study provides insight into the identification of new gene targets involved in the modulating activity of MSCs. Nevertheless, the modulatory role of MSCs expressing NLRs on the function and regulation of innate immune signaling pathways requires evaluation under various in vitro and in vivo inflammatory conditions.

Conclusion
Regarding the reported anti-inflammatory effects of a subgroup of NLR family, this study demonstrated the modulatory effect of pro-inflammatory cytokine IFN-g, known as a major player during a variety of pathological situations and tissue injury, on the expression level of NLRP12 in the treated MSCs. However, further research is required to examine its functional association with the underlying mechanisms that are probably involved in MSC-mediated modulation in a dose- and time-dependent manner.

Acknowledgement
This work was financially supported by Islamic Azad University, Tabriz Branch, Iran. We also wish to thank all the individuals at Islamic Azad University, Ardabil Branch, Iran, and Sabalan Hospital who assisted us in this research.

Funding sources
This work was financially supported by Islamic Azad University, East Azarbaijan Branch, Tabriz, Iran.

Ethical statement
The project was approved by the institutional local ethics committee (IR.IAU.TABRIZ.REC.1398.029).

Conflicts of interest
The authors declare no conflicts of interest.

Author contributions
All authors have contributed equally.

Data availability statement
The data that support the findings of this study are available from the corresponding author upon reasonable request.
Research Article: Research Article | Subject: Biochemistry
Received: 2023/08/21 | Accepted: 2024/02/28 | Published: 2025/12/3 | ePublished: 2025/12/3

References
1. Slaminejad MB, Fani N, Shahhoseini M. Epigenetic Regulation of Osteogenic and Chondrogenic Differentiation of Mesenchymal Stem Cells in Culture. Cell J. 2013;15(1):1-10. [View at Publisher] [PMID] [Google Scholar]
2. Saidi N, Ghalavand M, Hashemzadeh MS, Dorostkar R, Mohammadi H, Mahdian-shakib A. Dynamic changes of epigenetic signatures during chondrogenic and adipogenic differentiation of mesenchymal stem cells. Biomed pharmacother. 2017;89:719-31. [View at Publisher] [DOI] [PMID] [Google Scholar]
3. Huang P, Lin LM, Wu XY, Tang QL, Feng XY, Lin GY, et al. Differentiation of human umbilical cord Wharton's jelly‐derived mesenchymal stem cells into germ‐like cells in vitro. J Cell Biochem. 2010;109(4):747-54. [View at Publisher] [DOI] [PMID] [Google Scholar]
4. Weiss ML, Anderson C, Medicetty S, Seshareddy KB, Weiss RJ, VanderWerff I, et al. Immune properties of human umbilical cord Wharton's jelly‐derived cells. Stem cells. 2008;26(11):2865-74. [View at Publisher] [DOI] [PMID] [Google Scholar]
5. Prasanna SJ, Gopalakrishnan D, Shankar SR, Vasandan AB. Pro-inflammatory cytokines, IFNγ and TNFα, influence immune properties of human bone marrow and Wharton jelly mesenchymal stem cells differentially. PLoS One. 2010;5(2):e9016. [View at Publisher] [DOI] [PMID] [Google Scholar]
6. Kyurkchiev D, Bochev I, Ivanova-Todorova E, Mourdjeva M, Oreshkova T, Belemezova K, et al. Secretion of immunoregulatory cytokines by mesenchymal stem cells. World J Stem Cells. 2014;6(5):552-70. [View at Publisher] [DOI] [PMID] [Google Scholar]
7. Deuse T, Stubbendorff M, Tang-Quan K, Phillips N, Kay MA, Eiermann T, et al. Immunogenicity and immunomodulatory properties of umbilical cord lining mesenchymal stem cells. Cell transplant. 2011;20(5):655-67. [View at Publisher] [DOI] [PMID] [Google Scholar]
8. François M, Romieu-Mourez R, Li M, Galipeau J. Human MSC suppression correlates with cytokine induction of indoleamine 2, 3-dioxygenase and bystander M2 macrophage differentiation. Mol ther. 2012;20(1):187-95. [View at Publisher] [DOI] [PMID] [Google Scholar]
9. Noone C, Kihm A, English K, O'Dea S, Mahon BP. IFN-γ stimulated human umbilical-tissue-derived cells potently suppress NK activation and resist NK-mediated cytotoxicity in vitro. Stem Cells Dev. 2013;22(22):3003-14. [View at Publisher] [DOI] [PMID] [Google Scholar]
10. François M, Romieu-Mourez R, Stock-Martineau S, Boivin M-N, Bramson JL, Galipeau J. Mesenchymal stromal cells cross-present soluble exogenous antigens as part of their antigen-presenting cell properties. Blood. 2009;114(13):2632-8. [View at Publisher] [DOI] [PMID] [Google Scholar]
11. Haddad R, Saldanha-Araujo F. Mechanisms of T-cell immunosuppression by mesenchymal stromal cells: what do we know so far? Biomed Res Int. 2014;2014:216806. [View at Publisher] [DOI] [PMID] [Google Scholar]
12. Tse WT, Pendleton JD, Beyer WM, Egalka MC, Guinan EC. Suppression of allogenic T-cell proliferation by human marrow stromal cells: implications in transplantation. Transplantation. 2003;75(3):389-97. [View at Publisher] [DOI] [PMID] [Google Scholar]
13. Espagnolle N, Balguerie A, Arnaud E, Sensebé L, Varin A. CD54-mediated interaction with pro-inflammatory macrophages increases the immunosuppressive function of human mesenchymal stromal cells. Stem cell reports. 2017;8(4):961-76. [View at Publisher] [DOI] [PMID] [Google Scholar]
14. Luper CR, Stokes KL, Kuriakose T, Kanneganti TD. Deficiency of the NOD-Like receptor NLRC5 results in decreased CD8+ T cell function and impaired viral clearance. J Viol. 2017;91(17):e00377-17. [View at Publisher] [DOI] [PMID] [Google Scholar]
15. Gültekin Y, Eren E, Özören N. Overexpressed NLRC3 acts as an anti-inflammatory cytosolic protein. J Innate Immun. 2015;7(1):25-36. [View at Publisher] [DOI] [PMID] [Google Scholar]
16. Janowski AM, Kolb R, Zhang W, Sutterwala FS. Beneficial and Detrimental roles of NLRs in carcinogenesis. Front Immunol. 2013;4:370. [View at Publisher] [DOI] [PMID] [Google Scholar]
17. Linz BM, Neely CJ, Kartchner LB, Mendoza AE, Khoury AL, Truax A, et al. Innate immune cell recovery positively regulated by NLRP12 during emergency hematopoiesis. J Immunol. 2017;198(6):2426-33. [View at Publisher] [DOI] [PMID] [Google Scholar]
18. Lukens JR, Gurung P, Shaw PJ, Barr MJ, Zaki MH, Brown SA, et al. The NLRP12 sensor negatively regulates autoinflammatory disease by modulating interleukin-4 production in T cells. Immunity. 2015;42(4):654-64. [View at Publisher] [DOI] [PMID] [Google Scholar]
19. Coutermarsh-Ott S, Eden K, Allen IC. Beyond the inflammasome: regulatory NOD-like receptor modulation of the host immune response following virus exposure. J Gen Virol. 2016;97(4):825-38. [View at Publisher] [DOI] [PMID] [Google Scholar]
20. Rao X, Zhou X, Wang G, Jie X, Xine B, Xu Y, et al. NLRP6 is required for cancer-derived exosome-modified macrophage M2 polarization and promotes metastasis in small cell lung cancer. Cell Death Dis. 2022;13(10):891. [View at Publisher] [DOI] [PMID] [Google Scholar]
21. Wang H, Xu G, Huang Z, Li W, Cai H, Zhang Y, et al. Correction: NLRP6 targeting suppresses gastric tumorigenesis via P14ARF-Mdm2-P53-dependent cellular senescence. Oncotarget. 2018;9(84):35512. [View at Publisher] [DOI] [PMID] [Google Scholar]
22. Khoury AL, Truax A, Sempowski G, Eitas T, Brickey J, Ting JP, et al. Innate Immune Cell Recovery Is Positively Regulated by NLRP12 during Emergency Hematopoiesis. J Immunol 2017;198(6):2426-33. [View at Publisher] [DOI] [PMID] [Google Scholar]
23. Lin Q, Wu L, Ma Z, Chowdhury FA, Mazumder HH, Du W. Persistent DNA damage-induced NLRP12 improves hematopoietic stem cell function. JCI Insight. 2020;5(10):e133365. [View at Publisher] [DOI] [PMID] [Google Scholar]
24. Anand PK, Malireddi RK, Lukens JR, Vogel P, Bertin J, Lamkanfi M, et al. NLRP6 Negatively Regulates Innate Immunity and Host Defense Against Bacterial Pathogens. Nature. 2012;488(7411):389-93. [View at Publisher] [DOI] [PMID] [Google Scholar]
25. Silveira TN, Gomes MT, Oliveira LS, Campos PC, Machado GG, Oliveira SC. NLRP12 negatively regulates proinflammatory cytokine production and host defense against Brucella abortus. Eur J Immunol. 2017;47(1):51-9. [View at Publisher] [DOI] [PMID] [Google Scholar]
26. Khatami SM, Zahri S, Maleki M, Hamidi K. Stem Cell Isolation from Human Wharton's Jelly: A Study of Their Differentiation Ability into Lens Fiber Cells. Cell J. 2014;15(4):364-71. [View at Publisher] [PMID] [Google Scholar]
27. Hendijani F, Javanmard ShH, Rafiee L, Sadeghi-Aliabadi H. Effect of human Wharton's jelly mesenchymal stem cell secretome on proliferation, apoptosis and drug resistance of lung cancer cells. Res Pharm Sci. 2015;10(2):134-42. [View at Publisher] [PMID] [Google Scholar]
28. Huang Y, Wu Q, Tam PKH. Immunomodulatory Mechanisms of Mesenchymal Stem Cells and Their Potential Clinical Applications. Int J Mol Sci. 2022;23(17):10023. [View at Publisher] [DOI] [PMID] [Google Scholar]
29. Sivanathan KN, Gronthos S, Rojas-Canales D, Thierry B, Coates PT. Interferon-gamma modification of mesenchymal stem cells: implications of autologous and allogeneic mesenchymal stem cell therapy in allotransplantation. Stem Cell Rev Rep. 2014;10(3):351-75. [View at Publisher] [DOI] [PMID] [Google Scholar]
30. Ma OK-F, Chan KH. Immunomodulation by mesenchymal stem cells: Interplay between mesenchymal stem cells and regulatory lymphocytes. World J Stem Cells. 2016;8(9):268-78. [View at Publisher] [DOI] [PMID] [Google Scholar]
31. Gharagozloo M, Mahvelati TM, Imbeault E, Gris P, Zerif E, Bobbala D, et al. The nod-like receptor, NLRP12, plays an anti-inflammatory role in experimental autoimmune encephalomyelitis. J Neuroinflammation. 2015;12:198. [View at Publisher] [DOI] [PMID] [Google Scholar]
32. Lukens JR, Gurung P, Shaw PJ, Barr MJ, Zaki MH, Brown SA, et al. NLRP12 negatively regulates autoinflammatory disease by modulating interleukin-4 production in T cells. Immunity. 2015;42(4):654-64. [View at Publisher] [DOI] [PMID] [Google Scholar]
33. Waldner MJ, Neurath MF. Mechanisms of Immune Signaling in Colitis-Associated Cancer. Cell Mol Gastroenterol Hepatol. 2014;1(1):6-16. [View at Publisher] [DOI] [PMID] [Google Scholar]
34. Chan JL, Tang KC, Patel AP, Bonilla LM, Pierobon N, Ponzio NM, et al. Antigen property of mesenchymal stem cells occurs during a narrow window at low levels of interferon-gamma. Blood. 2006;107(12):4817-24. [View at Publisher] [DOI] [PMID] [Google Scholar]
35. Stagg J, Pommey S, Eliopoulos N, Galipeau J. Interferon-gamma stimulated marrow stromal cells: a new type nonhematopoietic antigen-presenting cell. Blood. 2006;107(6):2570-7. [View at Publisher] [DOI] [PMID] [Google Scholar]
36. Nie H, Hu Y, Guo W, Wang W, Yang Q, Dong Q, et al. miR-331-3p inhibits inflammatory response after intracerebral hemorrhage by directly targeting NLRP6. Biomed Res Int. 2020;2020:6182464. [View at Publisher] [DOI] [PMID] [Google Scholar]
37. Tsao YP, Tseng FY, Chao CW, Chen MH, Yeh YC, Abdulkareem BO, et al. NLRP12 is an innate immune checkpoint for repressing IFN signatures and attenuating lupus nephritis progression. J Clin Invest. 2023;133(9):e171350. [View at Publisher] [DOI] [PMID] [Google Scholar]
38. Sharma BR, Karki R, Rajesh Y, Kanneganti TD. Immune regulator IRF1 contributes to ZBP1-, AIM2-, RIPK1-, and NLRP12-PANoptosome activation and inflammatory cell death (PANoptosis). J Biol Chem. 2023;299(9):105141. [View at Publisher] [DOI] [PMID] [Google Scholar]
39. Ataide MA, Andrade WA, Zamboni DS, Wang D, Souza Mdo C, Franklin BS, et al. Malaria-induced NLRP12/NLRP3-dependent caspase-1 activation mediates inflammation and hypersensitivity to bacterial superinfection. PLoS Pathog. 2014;10(1):e1003885. [View at Publisher] [DOI] [PMID] [Google Scholar]
40. Zaki MH, Man SM, Vogel P, Lamkanfi M, Kanneganti T-D. Salmonella exploits NLRP12-dependent innate immune signaling to suppress host defenses during infection. Proc Natl Acad Sci U S A. 2014;111(1):385-90. [View at Publisher] [DOI] [PMID] [Google Scholar]
41. Radulovic K, Ayata CK, Mak'Anyengo R, Lechner K, Wuggenig P, Kaya B, et al. NLRP6 deficiency in CD4 T cells decreases T cell survival associated with increased cell death. J Immunol. 2019;203(2):544-56. [View at Publisher] [DOI] [PMID] [Google Scholar]
42. Nahumi A , Pirdel L, Asadi A, Abdolmaleki A. Evaluation of NLR Family CARD Domain Containing 3 and NLR Family CARD Domain Containing 5 Gene Expression in Interferon Gamma-Treated Mesenchymal Stem Cells from Wharton's Jelly of Human Umbilical Cord. Gene Cell Tissue. 2022;9(2):e118882. [View at Publisher] [DOI] [Google Scholar]

Add your comments about this article : Your username or Email:
CAPTCHA

Send email to the article author


Rights and permissions
Creative Commons License This work is licensed under a Creative Commons Attribution-NonCommercial 4.0 International License.