Volume 19, Issue 2 (Mar-Apr 2025)                   mljgoums 2025, 19(2): 18-21 | Back to browse issues page


XML Print


Download citation:
BibTeX | RIS | EndNote | Medlars | ProCite | Reference Manager | RefWorks
Send citation to:

Azimi S, Bashardoust B, Tajik Jalayeri M H. Bronchopulmonary lophomoniasis in a prisoner: A case report. mljgoums 2025; 19 (2) :18-21
URL: http://mlj.goums.ac.ir/article-1-1888-en.html
1- Infectious Diseases Research Center, Golestan University of Medical Sciences, Gorgan, Iran
2- Department of Medical Parasitology and Mycology, School of Paramedical Sciences, Golestan University of Medical Sciences, Gorgan, Iran
3- Clinical Research Development Unit (CRDU), Sayad Shirazi Hospital, Golestan University of Medical Sciences, Gorgan, Iran , Drtajikinternist@gmail.com
Full-Text [PDF 442 kb]   (790 Downloads)     |   Abstract (HTML)  (2763 Views)
Full-Text:   (545 Views)
 Introduction
Lophomoniasis, an illness in humans, is caused by the anaerobic protozoan Lophomonas species (1), and is known to induce respiratory diseases (2-4). While the exact mode of transmission to humans is not fully understood, environmental factors like precipitation, temperature, humidity, and geographical location are thought to contribute to the proliferation of the transmitting species, Lophomonas blattarum (L. blattarum) (5,6). The transmission of Lophomonas cysts can be significantly influenced by the lifestyle of at-risk populations, particularly those in unsanitary and humid work environments, facilitating repeated inhalation or ingestion (7,8). L. blattarum, first identified by Samuel Stein in 1860 within the gut of the oriental cockroach (Blatta orientalis), is a protozoan characterized by its round to oval morphology and a diameter ranging from 20 to 60 µm. It distinctively possesses an apical tuft comprising numerous flagella (9). Infection with Lophomonas species in humans occurs exclusively via the inhalation of excreted cysts by individuals in close proximity to the insects. This direct respiratory route is the sole mechanism of transmission for lophomoniasis. The parasitic infection can lead to chronic inflammatory responses, such as asthma, potentially mediated by secreted proteases. These proteases may also induce alterations in immunoglobulin levels, specifically immunoglobulin A (IgA) and immunoglobulin E (IgE) (4,10). Following exposure, individuals typically manifest an acute inflammatory response, which subsequently culminates in the onset of clinical symptoms (9,10).
Lophomonas species are primarily associated with bronchial and pulmonary infections in humans. However, there have been documented instances of these pathogens causing upper respiratory tract infections, including sinusitis (11,12). It is important to note that the clinical presentation, laboratory results, and radiological findings of lower respiratory tract infections caused by Lophomonas are nonspecific, making it challenging to differentiate them from respiratory infections caused by more common pathogens. The identification of unicellular organisms in bronchoalveolar lavage (BAL) fluid or bronchial specimens via direct microscopy can establish a diagnosis when clinical and radiological indicators of bronchitis or pneumonia are present (2,4). The earliest documented human infection in China was reported in 1993 (13). The initial documented instance of a respiratory infection attributed to L. blattarum in Iran occurred in 2014, affecting a young female patient who presented with sinusitis and other respiratory symptoms requiring hospitalization (13,14). The global incidence of this disease is widely recognized as uncommon (4). This study details a case of pulmonary lophomoniasis identified in a prisoner, highlighting the inherent diagnostic and therapeutic complexities of the condition.  

Case presentation
A 47-year-old male, currently incarcerated for six months, presented with a four-month history of productive cough, progressive dyspnea, and orthopnea. Two months prior to admission, he experienced two episodes of non-massive hemoptysis. His medical history was notable for type 2 diabetes mellitus, hypertension, and a previous appendectomy. He denies any history of tobacco, alcohol, or illicit substance use. The patient's current medication regimen includes losartan (25 mg twice daily), metformin (500 mg twice daily), clopidogrel (75 mg daily), aspirin (80 mg daily), and Nitrocontin (2.6 mg twice daily). Given the clinical suspicion of pulmonary tuberculosis (TB), empiric anti-TB therapy has been started. This therapy consists of daily doses of isoniazid (75 mg), rifampicin (150 mg), pyrazinamide (400 mg), and ethambutol (275 mg).
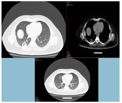
Upon admission, the patient presented with stable hemodynamics, maintaining an oxygen saturation of 98% without supplemental oxygen. High-resolution computed tomography (HRCT) of the chest identified a pulmonary cavity, prompting differential diagnoses of TB or a fungal infection. Initial laboratory analyses revealed normal leukocyte counts; however, inflammatory markers were elevated (Table 1). Abdominal ultrasonography indicated grade 2-3 hepatic steatosis, with no evidence of hydatid cysts. This finding was supported by a negative serum anti-hydatid IgG enzyme-linked immunosorbent assay (ELISA). Subsequently, a flexible bronchoscopy was performed, and BAL fluid was collected from the right lower lobe. The samples were submitted for a comprehensive array of analyses, including bacterial and fungal cultures, three acid-fast bacilli (AFB) smears, mycobacterium TB polymerase chain reaction (MTB-PCR), Lophomonas microscopy, and cytological examination. Bacterial and fungal cultures, AFB smears, and MTB-PCR yielded negative results. However, microscopic examination of BAL fluid revealed the presence of Lophomonas spp. (Figure 1). Further supporting a parasitic etiology, serum IgE levels were elevated at 387 IU/mL (Normal range: <160 kU/L). A spiral CT scan of the lungs identified a thick-walled cavitary lesion in the middle lobe of the right lung (Figure 2).
In light of these observations, a diagnosis of pulmonary lophomoniasis was established. The patient subsequently underwent a four-week course of metronidazole (500 mg administered every six hours), which led to the complete cessation of hemoptysis, dyspnea, and productive cough. This case highlights the inherent diagnostic complexities associated with distinguishing pulmonary lophomoniasis from TB in areas where TB is prevalent, especially within vulnerable groups like incarcerated or immunocompromised individuals. The diagnosis was confirmed by the detection of Lophomonas in BAL, the lack of other pathogens, increased IgE levels, and a positive clinical response to antiprotozoal treatment. Healthcare providers should keep this uncommon parasitic infection in mind for cases suspected of TB that do not have microbiological confirmation, in order to prevent unnecessary anti-TB treatment and to provide the correct therapy.

Table 1. Laboratory findings of the patient with bronchopulmonary lophomoniasis

WBC: White Blood Cell; PMN: Polymorphonuclear Neutrophils; Hb: Hemoglobin; CRP: C-Reactive Protein; AST: Aspartate Aminotransferase; ALT: Alanine Transaminase; ALP: Alkaline Phosphatase


Figure 1. Direct smear of the bronchoalveolar lavage fluid specimen represents Lophomonas trophozoite with irregular, long flagella

Figure 2. Lung computed tomography scan of the patient with bronchopulmonary lophomoniasis

Discussion
Pulmonary lophomoniasis is an emerging infectious illness with several recognized modes of transmission (5). Our patient's case illustrates how occupation and living conditions serve as crucial risk factors, heightening direct exposure to the pathogen. The greatest incidence of lophomoniasis is observed in Latin America and Asia, which is likely due to environmental and occupational factors that promote the proliferation of cockroaches, which are implicated in transmission (9,7,15). The patient's susceptibility in this instance was further exacerbated by residing in unhygienic environments, thereby increasing their likelihood of contact with Lophomonas cysts.
Accurately diagnosing pulmonary lophomoniasis presents a significant challenge given its non-specific symptoms, which frequently mimic other respiratory ailments. This often results in misdiagnoses, commonly as Chronic Obstructive Pulmonary Disease (COPD), bacterial pneumonia, or TB. The considerable overlap in clinical presentations complicates precise identification, highlighting the critical need for comprehensive diagnostic assessments (16,17). Previous research has reported instances of lophomoniasis, TB, and hydatid cyst infections, underscoring the inherent difficulties in achieving precise diagnoses for these conditions. Clinicians frequently encounter obstacles during the early phases of these diseases due to substantial symptomatic overlap. Specifically, the initial clinical presentations of TB can prompt healthcare professionals to consider this infectious disease as a primary suspicion, informed by historical epidemiological data and characteristic symptomatology (18-20). Initially, the patient received a diagnosis of pulmonary TB and began treatment with a four-drug regimen. However, this preliminary diagnosis was subsequently excluded. The definitive diagnosis of pulmonary lophomoniasis necessitates the direct identification of the parasite in clinical specimens, including sputum, tissue, or secretions procured via bronchofibroscopy and BAL (7). In this particular case, the diagnosis was substantiated through the analysis of samples obtained during bronchofibroscopy and BAL.
Metronidazole is the established therapeutic agent for pulmonary lophomoniasis, administered at a dosage of 500 mg every 8 hours for 20 to 30 days, with the duration of treatment contingent on the severity of the infection (21). In the reported case, the initiation of metronidazole therapy culminated in notable clinical improvement, specifically the cessation of hemoptysis.
Our clinical observations suggest that pulmonary lophomoniasis warrants inclusion in the differential diagnosis alongside TB and hydatid cysts. This consideration is particularly relevant for patients exhibiting a lack of response to conventional antibiotic therapy. Moreover, we recommend evaluating individuals presenting with high-risk epidemiological indicators for potential Lophomonas infection. The observation of hemoptysis and cavitated lesions, consistent with the findings in our patient, necessitates a high index of suspicion for concomitant microbiological infections. Consequently, bronchoscopy is advocated as the optimal method for specimen acquisition. In settings where definitive laboratory diagnostics are not accessible, administering metronidazole may prove advantageous in mitigating the progression of clinical sequelae. Additionally, it is advisable to screen for lophomoniasis prior to initiating treatment for smear-negative TB.
This case presentation has several limitations that may affect the generalizability of its findings, such as the absence of a control group, which restricts the ability to generalize the observations to a broader population. Furthermore, the patient's specific context as a prisoner introduces potential confounding factors that could significantly influence their health outcomes. The lack of comprehensive follow-up data also impedes a thorough evaluation of the long-term efficacy of the treatment. Finally, incomplete details regarding the patient's drug history present a significant hurdle to fully understanding potential drug interactions and their impact on the patient's overall condition.

Conclusion
This case highlights the diagnostic complexities encountered in pulmonary infections, particularly when atypical pathogens are involved. Lophomoniasis, despite its rarity, warrants consideration in the differential diagnosis of presentations mimicking TB, especially in instances of smear-negative results and suboptimal treatment response. Enhanced clinical suspicion, combined with focused diagnostic approaches (Such as BAL microscopy), can prevent protracted misdiagnosis and facilitate appropriate therapeutic interventions. Future research should investigate optimal IgE thresholds and alternative antiprotozoal agents for cases demonstrating refractoriness to current treatments.

Acknowledgement
The authors would like to thank the dedicated staff of Sayad Shirazi Hospital for their invaluable support and substantial contributions to this research.

Funding sources
The authors received no financial support for the research, authorship, or publication of this research.

Ethical statement
The study received ethical clearance from the Ethics Committee at Golestan University of Medical Sciences (Registration number: IR.GOUMS.REC.1403.493).

Conflicts of interest
No potential conflict of interest.

Author contributions
Sadeghali Azimi: Primary clinician managing the case, Data collection, and Drafting the manuscript. Bahareh Bashardoust: Literature review, Diagnostic interpretation, and Manuscript editing. Mohammad Hadi Tajik Jalayeri: Clinical supervision, Critical revision, and Final approval of the manuscript. All authors reviewed and agreed to the final version.

Data availability statement
The data that support the findings of this study are available from the corresponding author upon reasonable request.
 
Research Article: Case Report | Subject: Others
Received: 2024/11/30 | Accepted: 2025/04/1 | Published: 2025/04/19 | ePublished: 2025/04/19

References
1. Alba-Romero JJ, Nogueda-Torres B, Sánchez-Manzano RM, Alba-Romero DL, Martínez-Romero A. Differential diagnosis of lophomaniasis in patients with COVID-19 in northern Mexico: a case report. Iberoamerican Journal of Medicine. 2023;6(1):23-27. [View at Publisher] [DOI] [Google Scholar]
2. Mokhtarian K, Taghipour S, Nakhaei M, Taheri A, Sharifpour A, Fakhar M, et al. Molecular evidence of emerged pulmonary lophomoniasis due to Lophomonas blattarum among hospitalized patients in southwestern Iran: A national registry-based study. Interdiscip Perspect Infect Dis. 2022:2022:6292823. [View at Publisher] [DOI] [PMID] [Google Scholar]
3. Fakhar M, Nakhaei M, Sharifpour A, Kalani H, Banimostafavi ES, Abedi S, et al. First molecular diagnosis of lophomoniasis: the end of a controversial story. Acta Parasitol. 2019;64(2):390-3. [View at Publisher] [DOI] [PMID] [Google Scholar]
4. Nakhaei M, Fakhar M, Sharifpour A, Ziaei Hezarjaribi H, Banimostafavi ES, Nazar E. Global status of emerging Lophomonas infection: a systematic review of reported cases (1993-2020). Interdiscip Perspect Infect Dis. 2022:2022:3155845. [View at Publisher] [DOI] [PMID] [Google Scholar]
5. Ghatee MA, Nakhaei M, Sharifpour A, Fakhar M, Mohamadi N, Soleymani M, et al. Geospatial Analysis and Molecular Epidemiologic Study of Emerging Pulmonary Lophomoniasis in Iran: A National Registry-Based Study. J Parasitol Res. 2023;2023:1039186. [View at Publisher] [DOI] [PMID] [Google Scholar]
6. Camargo-Assis F, Máttar S, González M. Lophomonas blattarum cockroach parasite that causes uncommon pneumonia in humans. Rev MVZ Cordoba. 2020;25(1):1948. [View at Publisher] [DOI] [Google Scholar]
7. Mewara A, Gile GH, Mathison B, Zhao H, Pritt B, Bradbury RS. Lophomonas as a respiratory pathogen-jumping the gun. J Clin Microbiol. 2024;62(1):e0084523. [View at Publisher] [DOI] [PMID] [Google Scholar]
8. Mirzazadeh F, Berenji F, Amini M, Salehi M, Shamsian A, Abdolmajid Fata, et al. Lophomonas blattarum in asthmatic patients and control group. J Res Med Dent Sci. 2017;5(5):1-5. [View at Publisher] [DOI] [Google Scholar]
9. Martinez-Girón R, Woerden HC. Lophomonas blattarum and bronchopulmonary disease. J Med Microbiol. 2013;62(11):1641-48. [View at Publisher] [DOI] [PMID] [Google Scholar]
10. Neves Coelho F, Borralho J, Baptista-Fernandes T, Toscano C, Carmo ME. Characterization of Lophomonas spp. Infection in a Population of Critical Care Patients. Infect Dis Rep. 2024;16(1):83-92. [View at Publisher] [DOI] [PMID] [Google Scholar]
11. Chaudhury A, Parija SC. Lophomonas blattarum: A new flagellate causing respiratory tract infections. Trop Parasitol. 2020;10(1):7-11. [View at Publisher] [DOI] [PMID] [Google Scholar]
12. Ding Q, Shen K. Pulmonary infection with Lophomonas blattarum. Indian J Pediatr. 2021;88(1):23-7. [View at Publisher] [DOI] [PMID] [Google Scholar]
13. Nakhaei M, Fakhar M, Sharifpour A, Ziaei Hezarjaribi H, Banimostafavi ES, Nazar E. Global status of emerging Lophomonas infection: a systematic review of reported cases (1993—2020). Interdisciplinary Perspectives on Infectious Diseases. 2022;2022(1):3155845. [View at Publisher] [DOI] [PMID] [Google Scholar]
14. Jorjani O, Bahlkeh A, Koohsar F, Talebi B, Bagheri A. Chronic Respiratory Allergy Caused by Lophomonas blattarum: A Case Report. Medical Laboratory Journal. 2018;12(2). [View at Publisher] [DOI] [Google Scholar]
15. Talebian M, Berenji F, Amini M, Sayedi SJ, Shamsian A, Afzalaghaee M, et al. A study about clinical symptoms and laboratory signs of adult and pediatric patients with Lophomonas blattarum. Journal of Research in Medical and Dental Science. 2018;6(1):312-7. [View at Publisher] [DOI] [Google Scholar]
16. Zeng H, Kong X, Chen X, Luo H, Chen P, Chen Y. Lophomonas blattarum infection presented as acute exacerbation of chronic obstructive pulmonary disease. J Thorac Dis. 2014;6(6):E73-6. [View at Publisher] [DOI] [PMID] [Google Scholar]
17. Taheri A, Fakhar M, Sharifpour A, Nakhaei M, Banimostafavi ES. Lophomonas and Mycobacterium co-infection: the first molecular evidence to overcome potential diagnostic pitfalls. Oxf Med Case Reports. 2022;2022(7):omac064. [View at Publisher] [DOI] [PMID] [Google Scholar]
18. Jalayeri MH, Zakariaei Z, Fakhar M, Sharifpour A, Banimostafavi ES, Soleymani M. Ruptured pulmonary hydatid cyst and lophomoniasis comorbidity in a young man: a rare case. Oxf Med Case Reports . 2023;2023(3):omad023. [View at Publisher] [DOI] [PMID] [Google Scholar]
19. Tajik Jalayeri MH, Sharifi far RA, Lashkarbolouk N, Mazandarani M. The co-infection of pulmonary hydatid cyst, lophomoniasis and tuberculosis in a patient with resistant respiratory symptoms; a case report study. BMC Infect Dis. 2024;24(1):11. [View at Publisher] [DOI] [PMID] [Google Scholar]
20. Jalayeri MH, Lashkarbolouk N, Mazandarani M. Diagnosis of pulmonary lophomoniasis in an elderly anthracosis patient with resistant respiratory symptoms: A literature review and a case report study. Clin Case Rep. 2024;12(6):e9085. [View at Publisher] [DOI] [PMID] [Google Scholar]
21. Vélez NP, Vintimilla RO, Orellana SA. Lung infection caused by Lophomonas blattarum. Arch Bronconeumol. 2021;57(9):594-6. [View at Publisher] [DOI] [PMID] [Google Scholar]

Add your comments about this article : Your username or Email:
CAPTCHA

Send email to the article author


Rights and permissions
Creative Commons License This work is licensed under a Creative Commons Attribution-NonCommercial 4.0 International License.